Aquí encontrará la mejor experiencia dental.

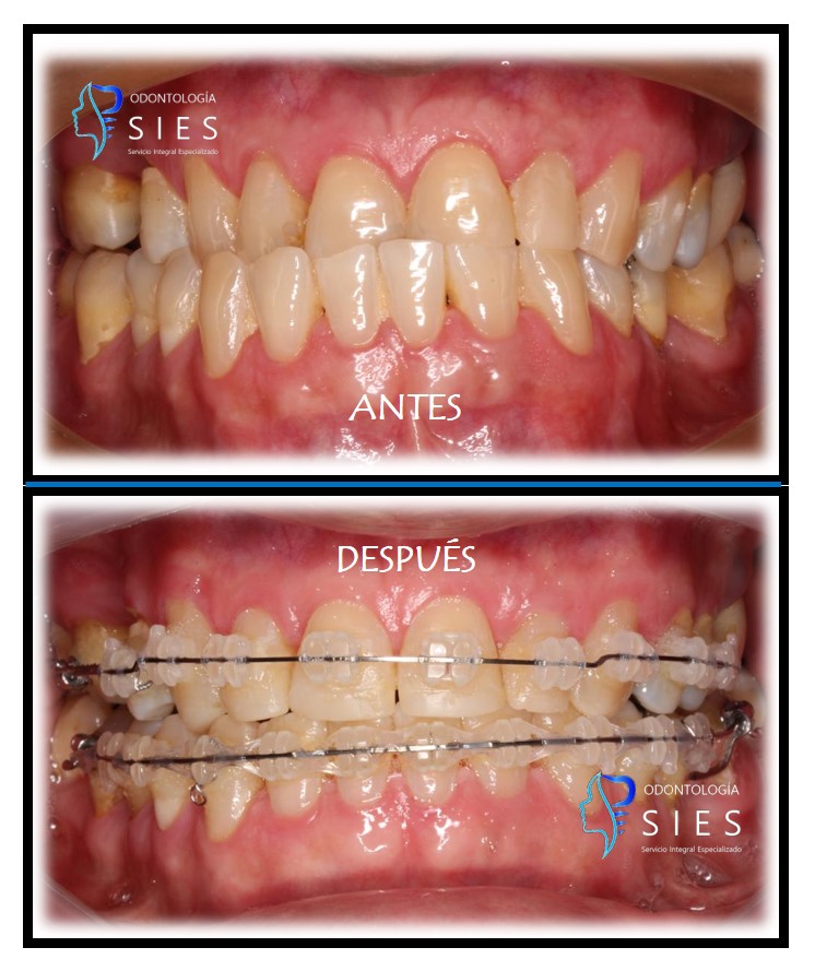
Ortodoncia